【病理陷阱】穿刺提示肺腺癌,切除后竟是罕见良性肿瘤?
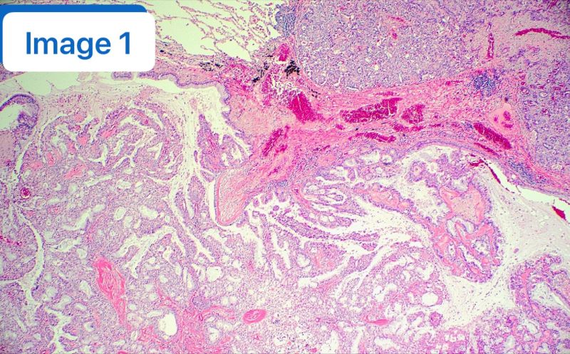
分享一个极具欺骗性的肺部病理诊断陷阱:纤毛黏液结节性乳头状肿瘤(CMPT)。这是一种罕见的良性病变,但在小标本活检中,它极具“伪装性”,极易被误诊为浸润性黏液腺癌。 📝 【病例回顾】 🔪 【反转与真相】 患者随后接受了手术切除,但大体标本的切片却讲述了一个完全不同的故事。 显微镜下呈现出了 CMPT 的经典特征(见附图): 🔬 【免疫组化(IHC)一锤定音】 ⚠️ 【诊断陷阱在哪里?】 为什么穿刺活检会误诊? 因为在局限的穿刺小标本中,往往只能看到大量的黏液和腺体结构,而具有鉴别意义的纤毛和基底细胞可能刚好缺失,或者在穿刺过程中被挤压破坏。病理医生一旦只看到“黏液+腺体”,很容易条件反射地诊断为黏液性腺癌。 💡 【Clinical Pearls / 临床启示】 这个病例完美诠释了形态学、免疫表型和临床背景结合的重要性。它警示我们:在有限的活检标本上,面对富含黏液的病变时,下“癌”的诊断一定要慎之又慎!
【病理陷阱】穿刺提示肺腺癌,切除后竟是罕见良性肿瘤? Read More »
