分享一个极具教育意义的神经系统病例。当 MRI 显示脑部占位,且患者没有任何感染症状时,我们极易陷入“脑肿瘤”的诊断惯性。但这个病例告诉我们:“非典型”不代表“不可能”,我们需要想得更宽。
👧 【病例回顾】
- 患者: 3岁女童,既往体健。
- 首发症状: 局灶性癫痫发作。
- 查体与体征: 神经系统查体正常;无发热、无体重减轻、无任何全身性症状。
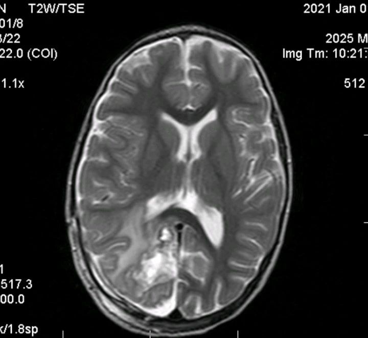
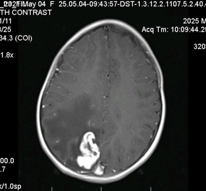
- 影像学检查: 脑部 MRI 显示明显的颅内占位伴水肿(见附图),高度怀疑为脑肿瘤。
🔪 【诊断陷阱与外科困境】 由于影像学表现极像肿瘤,且缺乏全身性或感染性体征,患儿接受了神经外科切除手术。 然而,术后病理结果却出人意料:中枢神经系统结核瘤(CNS tuberculoma)!
事后回溯病史发现,患儿其实有家庭结核病(TB)接触史。如果能在诊断早期将这一流行病学线索纳入考量,这次开颅手术原本是有可能避免的。
💡 【Clinical Pearls / 临床启示】 这个病例为我们敲响了警钟:
- 警惕“伪装者”: 中枢神经系统结核完全可以模仿脑肿瘤的影像学表现,并且可以没有任何全身性感染体征。
- 病史是破局关键: 尤其是对于表现出孤立性神经系统症状的儿童,永远不要忘记追问结核病暴露史(特别是在结核病流行地区)。
- 多维度印证: 影像学与流行病学史的紧密结合,是避免不必要外科干预的关键。




